900 E. Almond Ave., Madera, CA 93637
(559) 673-2257
Patient Payments
Our Office
900 E. Almond Ave.
Madera
,
CA
93637
Phone:
(559) 673-2257
Visit Us Online
Home
About Us
Meet Our Doctor
Meet Our Team
Our Office
Financing With Cherry
New Patients
Smile Gallery
Testimonials
Dental Videos
Dental Health
Local Communities
Services
Dental Cleanings
Emergency Treatment
Extractions
Night Guards
Oral Exams
Pediatric Dentistry
Periodontal Treatment
Preventative Program
Root Canals
Sleep Apnea
Snoring Appliances
Dental Bridges
Dental Fillings
Dentures
Implant Dentistry
Ceramic Crowns
Cosmetic Dentistry
Teeth Whitening
Veneers
ClearCorrect®
Invisalign®
Orthodontics
Technology
Contact Us
Request Appointment
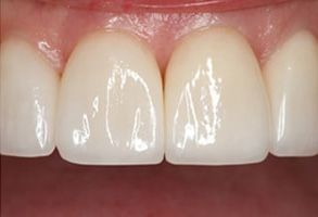
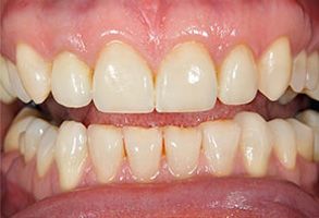
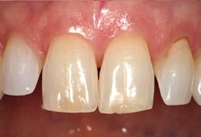
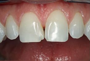
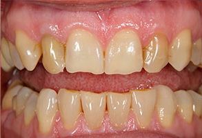
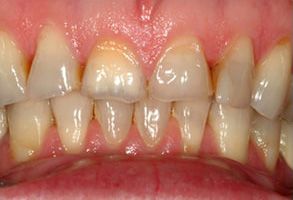
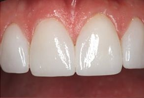
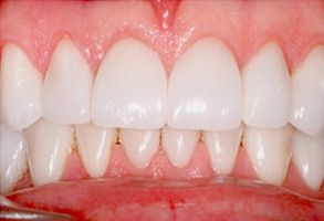
Dentistry Before and After Photos
Before
After
Before
After
Before
After
Before
After
Before
After
Before
After
Before
After
Our Office
900 E. Almond Ave.
Madera
,
CA
93637
Phone:
(559) 673-2257
Visit Us Online
Home
Our Office
Meet Our Doctor
Meet Our Team
New Patients
Smile Gallery
Services
Request Appointment
Cosmetic Dentistry
Dental Implants
Invisalign®
Veneers
Teeth Whitening
Periodontal Treatment
Dentures
Emergency Treatment
Our Office
900 E. Almond Ave.
Madera
,
CA
93637
Phone:
(559) 673-2257
Visit Us Online
© 2026 Keledjian Dental. All Rights Reserved. |
Accessibility Policy
Dentist Website Design
Madera Dentist | Dentist in Madera | Cosmetic Dentist Madera